Carillas dentales en Barcelona
Las carillas dentales son uno de los tratamientos de estética dental más eficaces para mejorar la sonrisa de forma rápida y personalizada. En nuestra clínica en Barcelona trabajamos con carillas de porcelana y composite para corregir el color, la forma, el tamaño o pequeñas imperfecciones dentales, siempre respetando la armonía facial y la salud bucodental.
David Cardona
David Cardona es odontólogo especializado en estética dental, con una trayectoria centrada en la precisión clínica y la planificación personalizada. Su enfoque combina diseño de sonrisa y criterio médico para lograr resultados naturales, equilibrados y duraderos.
Con amplia experiencia en tratamientos de carillas dentales, trabaja cada caso de forma individualizada, integrando tecnología avanzada y técnicas conservadoras para garantizar seguridad, previsibilidad y bienestar en todo el proceso.
Expertos en carillas dentales
Odontología estética especializada
Aplicamos tratamientos de estética dental basados en un diagnóstico preciso, planificación digital y materiales de alta calidad, priorizando siempre la salud bucodental y la naturalidad del resultado.
Por qué elegirnos
Odontología estética basada en precisión y naturalidad
David Cardona lidera un enfoque de odontología estética basado en la precisión clínica, la planificación digital y la naturalidad de cada sonrisa, diseñando tratamientos personalizados para cada paciente.
Calidad en cada tratamiento
Trabajamos con materiales de alta gama y protocolos clínicos rigurosos para garantizar resultados estéticos predecibles, seguros y adaptados a cada paciente.
Tecnología dental avanzada
Utilizamos herramientas de diagnóstico y planificación digital que nos permiten diseñar la sonrisa antes de iniciar el tratamiento, mejorando la precisión y el confort del paciente.
Equipo profesional especializado
Nuestro equipo está formado por profesionales con amplia experiencia en odontología estética, comprometidos con la salud bucodental y la naturalidad del resultado.
Testimonios
Opiniones de nuestros pacientes
Información de contacto
722 30 47 81
info@carillasdentalesenbarcelona.com
Carrer de Regàs, 7, Sarrià-Sant Gervasi, 08006 Barcelona
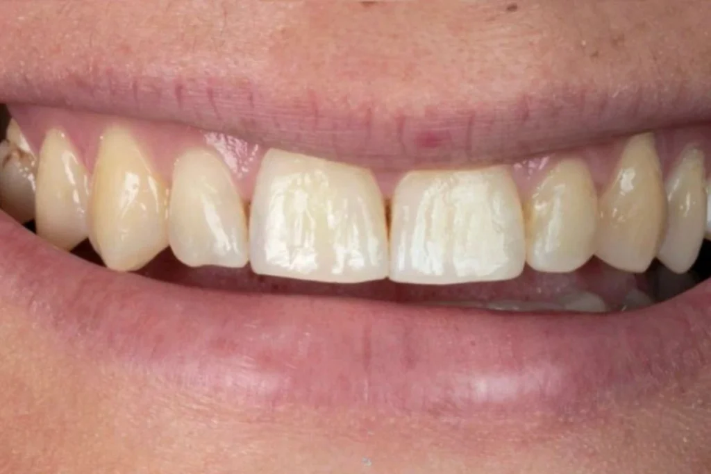
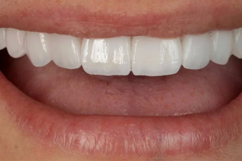
Antes y después de carillas dentales
resultados reales
Tipos de carillas dentales
Soluciones estéticas adaptadas a cada sonrisa
Tras un estudio personalizado, te recomendamos la opción más adecuada para lograr un resultado natural y duradero.

Carillas de porcelana
Máxima estética y durabilidad. Destacan por su resistencia, estabilidad del color y un acabado muy natural a largo plazo.

Carillas de composite
Aplicadas directamente sobre el diente. Son rápidas y conservadoras, ideales para mejorar forma y color.

Carillas sin tallado
Mínimamente invasivas. Permiten mejorar la sonrisa sin desgaste dental, respetando al máximo el diente natural.
Por qué elegirnos
Tratamientos de estética dental con un enfoque integral
Ofrecemos un abordaje completo en odontología estética, combinando diagnóstico clínico preciso, planificación digital y materiales de alta calidad. Cada tratamiento se diseña de forma personalizada para lograr resultados naturales, armónicos y duraderos, siempre priorizando la salud bucodental del paciente.
Preguntas frecuentes sobre carillas dentales
Resolvemos las dudas más habituales
¿Qué son las carillas dentales?
Las carillas dentales son finas láminas que se colocan sobre la parte frontal del diente para mejorar su forma, color, tamaño o posición. Se utilizan principalmente con fines estéticos, aunque también pueden mejorar la funcionalidad de la sonrisa.
¿Qué problemas pueden corregirse con carillas dentales?
Las carillas dentales permiten corregir manchas persistentes, dientes desgastados, fracturas leves, separaciones entre dientes, irregularidades en la forma y pequeñas malposiciones.
¿Es necesario tallar el diente para colocar carillas?
No siempre. En muchos casos el tallado es mínimo o incluso inexistente, especialmente con carillas ultrafinas o de composite. Cada caso se estudia previamente para conservar al máximo la estructura dental.
¿Las carillas dentales se ven naturales?
Sí. Cuando están bien planificadas y realizadas con materiales de calidad, las carillas dentales ofrecen un resultado muy natural, respetando la forma del rostro y la sonrisa del paciente.
¿El tratamiento duele?
No. El tratamiento es indoloro y mínimamente invasivo. En caso de ser necesario, se utiliza anestesia local para garantizar la comodidad del paciente durante todo el proceso.
¿Cuántas carillas necesito?
Depende de cada caso. Algunas personas solo necesitan una o dos carillas para corregir un diente concreto, mientras que otras optan por varias carillas para un cambio estético más completo.
¿Cuánto cuestan las carillas dentales?
El precio de las carillas dentales varía según el tipo de material, el número de dientes a tratar y la complejidad estética del caso. De forma orientativa:
- Carillas de composite: entre 250 € y 450 € por diente
- Carillas de porcelana: entre 500 € y 900 € por diente
En la primera visita realizamos un estudio personalizado para valorar tu sonrisa y ofrecerte un presupuesto ajustado, explicando cada detalle del tratamiento antes de comenzar.
¿Cuánto duran las carillas dentales?
La duración de las carillas dentales varía según el material y los hábitos del paciente.
Las carillas de porcelana pueden durar entre 10 y 15 años o más, mientras que las de composite suelen tener una duración menor. Un buen mantenimiento, revisiones periódicas y una correcta higiene oral son clave para alargar su vida útil.
Contenido del blog
Artículos sobre carillas dentales, estética dental y salud bucodental para ayudarte a tomar decisiones con información profesional.

¿Se puede comer con las carillas dentales?
Una de las dudas más habituales entre las personas que se plantean mejorar su sonrisa con carillas dentales es si podrán comer con normalidad después del tratamiento. Es una preocupación lógica, ya que las carillas se colocan en la parte visible de los dientes y muchas personas temen que sean frágiles o que limiten su

¿Cuánto cuesta ponerse carillas en todos los dientes?
El precio de ponerse carillas dentales en todos los dientes es una de las preguntas más frecuentes entre quienes desean mejorar su sonrisa de forma definitiva. Se trata de un tratamiento de estética dental muy demandado, pero también de una inversión importante, por lo que es normal querer entender qué influye en el coste y

¿Cuánto tiempo duran las carillas de porcelana?
Las carillas de porcelana son uno de los tratamientos de odontología estética más duraderos y estables para mejorar la sonrisa. Aun así, una de las preguntas más habituales antes de iniciar el tratamiento es cuánto tiempo duran las carillas de porcelana y de qué depende su vida útil. En este artículo te explicamos de forma